Imagens nunca vistas da atividade cerebral em fetos humanos

Até muito recentemente a obtenção de imagens da atividade cerebral de um bebê no útero materno era algo muito complicado. Na atualidade, e graças a uma técnica mais avançada, temos imagens de alta qualidade que nos permitem entender melhor certos aspectos sobre nosso desenvolvimento que até agora desconhecíamos.
A ressonância magnética (RM) fetal cerebral é um método de diagnóstico complementar ao ultrassom ao qual muitas mães se submetem por uma razão muito específica: obter um estudo morfológico e biométrico do cérebro do bebê para detectar eventuais anomalias.
Estes testes são normalmente realizados a partir da vigésima semana de gestação, bem quando já foi formado o corpo caloso cerebral e os diagnósticos ganham segurança. Lembre-se de que o feto está suspenso em um universo amniótico, neste mundo líquido onde a resolução através da ressonância magnética é de má qualidade, onde qualquer movimento interrompe completamente a obtenção de dados claros.
Esse tipo de testes perinatais geralmente têm uma taxa de sucesso de 50% na hora de identificar quaisquer problemas. Agora, tudo isso mudou completamente. No momento, acabamos de dar um passo gigante e já temos algoritmos muito mais precisos que são capazes de fazer leituras quase que perfeitas sobre a atividade cerebral de um bebê.
O que foi descoberto nestes primeiros testes diagnósticos significou uma revolução em todo o campo da medicina perinatal. Vamos explicar a seguir.

A atividade cerebral dos bebês prematuros
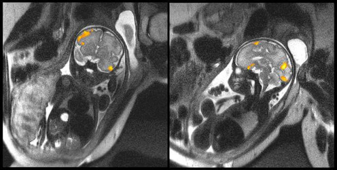
Na imagem acima, podemos ver a ressonância magnética de um feto de 20 semanas e o outro de 40. São imagens fornecidas pela Faculdade de Medicina da Universidade Estatal de Wayne (Michigan, Estados Unidos) que ilustram com clareza como é a atividade cerebral destes dois bebês no útero de sua mãe.
Um dos principais objetivos dos cientistas com esse tipo de testes foi estudar como os neurônios dos bebês se conectam durante as últimas semanas de gestação. Os dados obtidos revelaram aspectos que até agora eram desconhecidos sobre os bebês prematuros.
A fraca conectividade cerebral dos fetos que não vão chegar ao final
Os dados deste primeiro estudo foram publicados na revista“Scientific Reports”. Para realizar tal análise com os novos exames de ressonância magnética foi feito um acompanhamento de 36 mulheres grávidas da semana 20 até a 36. Metade delas tinha uma gravidez de alto risco e deu à luz prematuramente.
- Foi possível descobrir que os fetos que acabariam nascendo antes de chegar o fim da gravidez tinham uma conectividade muito mais fraca que os outros bebês na mesma semana de gestação.
- Até o momento pensava-se que a baixa conectividade cerebral detectada nos bebês nascidos prematuramente era basicamente consequência de um parto traumático ou da hipóxia que pode chegar a sofrer muitas vezes durante o parto.
No entanto, esta nova evidência deixa claro que a baixa neuroconectividade é demonstrada já no interior do útero materno, e que essa falta de conexão entre os neurônios é muito evidente na área de Broca, ou seja, bem na área relacionada com o processamento da linguagem.

Que utilidade vão ter esses novos testes diagnósticos?
Conforme já havíamos indicado no início, a ressonância magnética fetal tem como objetivo detectar qualquer anormalidade perinatal. Nos dias de hoje, não podemos ignorar o fato de que os nascimentos prematuros estão se tornando cada vez mais comuns, uma realidade que obriga médicos, cientistas e as próprias famílias a implementar novas estratégias, energias e recursos.
- Os dados desse trabalho nos mostraram que muitos desses bebês que nascem prematuramente apresentavam um tecido placentário inflamado. Algo assim levou os cientistas a acreditar que a inflamação materna pode determinar tanto a baixa atividade cerebral do feto como o posterior nascimento prematuro.
- Da mesma forma, quanto mais rápido essas anomalias perinatais forem detectadas, teremos maiores chances de intervenção ao nosso alcance. Não podemos esquecer que os bebês prematuros possuem um risco maior de sofrer de autismo, déficit de atenção e outros tipos de necessidades especiais relacionadas com o aprendizado.

Em conclusão, estas primeiras imagens sobre a atividade cerebral de fetos humanos significam que temos à nossa disposição uma porta excepcional para atravessar e entender um pouco melhor o nosso próprio desenvolvimento. No entanto, isso significará principalmente uma ferramenta diagnóstica de precisão com a qual será possível oferecer um atendimento mais abrangente para a criança prematura, a essa vida chegada antes do tempo que tanto precisa da ciência, dos médicos e da sua família.
Esperemos que seja assim.
Este texto é fornecido apenas para fins informativos e não substitui a consulta com um profissional. Em caso de dúvida, consulte o seu especialista.







