Núcleo accumbens: um centro de aprendizado, motivação e prazer


Escrito e verificado por a psicóloga Valeria Sabater
Encontrar motivação para alcançar um objetivo. Sentir que, apesar de ter falhado, vale a pena continuar lutando. O intenso prazer de um beijo. O prazer de desfrutarmos do nosso prato favorito… Todas essas sensações tão decisivas e importantes no nosso dia a dia são responsabilidade do núcleo accumbens, uma área tão interessante quanto excepcional do nosso sofisticado cérebro.
Muitas vezes, desconhecemos a existência de certas regiões do cérebro até que alguém que conhecemos sofra um acidente e o seu comportamento ou a forma de lidar com a vida mude completamente. No entanto, é muito importante entender um pouco mais como o nosso cérebro funciona em condições normais. Entender a função de cada área cerebral nos permite compreender melhor os nossos comportamentos, motivações e impulsos.
Há um núcleo accumbens em cada hemisfério cerebral, moldando um complexo sistema de recompensas. Graças a ele, sentimos prazer, integramos novos aprendizados e encontramos motivação no nosso dia a dia.
O núcleo accumbens é uma estrutura cerebral que forma o nosso sistema de prazer e recompensa. Sem isso, certamente perderíamos a força, essa catarse e essa energia incontrolável que nos torna humanos, parte de um ambiente onde todos, absolutamente todos, se movem com base em um conjunto de objetivos (objetivos pessoais, emocionais, sexuais, de aprendizado, de alimentação…).

O que é núcleo accumbens?
O núcleo accumbens é uma área cerebral desconhecida para a maioria das pessoas e ainda cheio de questionamentos para o mundo da neurociência. Sabemos que a sua principal função é ativar a motivação. Além disso, transforma essa vontade, esse sentimento de otimismo e superação que muitas vezes nos invade, em uma resposta comportamental, em ação.
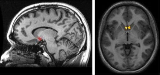
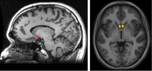
Para entendermos onde está localizada essa estrutura, devemos visualizar a área subcortical (abaixo do córtex) justamente em uma área de interconexão entre o núcleo caudado, o putâmen e o septo. Assim, o aspecto mais interessante sobre o núcleo accumbens e sua localização é o fato de que ele faz parte da via dopaminérgica no cérebro. Esta via é a chamada de via mesolímbica, responsável por nos estimular toda vez que o nosso cérebro entende que estamos realizando experiências positivas e gratificantes.
Agora, como dissemos anteriormente, os neurocientistas ainda não conhecem todas as funções dessa estrutura. Até recentemente, pensava-se que o núcleo accumbens estava relacionado somente com as experiências gratificantes. Atualmente, sabemos que também está ligado a situações adversas ou desagradáveis. E por uma razão muito simples. Quando nos deparamos com algo de que não gostamos, o núcleo accumbens “nos ativa” para fugirmos dessa situação.
O seu envolvimento no aprendizado, e até mesmo no nosso senso de sobrevivência (nos orienta para o que nos beneficia ou nos afasta do que nos fere) é, sem dúvida, tão interessante quanto decisivo.

A estrutura do núcleo accumbens
Cada hemisfério cerebral tem o seu núcleo accumbens. Dessa forma, o sistema de recompensa orquestrado pela dopamina atinge todas as áreas do cérebro. Estamos, por sua vez, diante de uma estrutura que faz parte dos chamados gânglios basais. Assim, embora à primeira vista e através das imagens eles possam parecer bastante pequenos, o que caracteriza o núcleo accumbens é a sua capacidade de conectividade.
De fato, a sua “conexão” mais importante é com o sistema límbico. Lembre-se de que essa área é composta de várias estruturas: o tálamo, o hipotálamo e a amígdala cerebral, e que, por sua vez, é responsável por regular o nosso mundo emocional. Veremos neste artigo como o núcleo accumbens estabelece essas relações interessantes graças à sua sofisticada anatomia. O núcleo accumbens pode ser dividido funcionalmente em duas partes: córtex e núcleo.
1. Córtex
Esta é, sem dúvida, a parte mais interessante do núcleo accumbens. É através desta área da sua anatomia que estabelece conexão com o sistema límbico e também com o lobo frontal. Dessa forma, ele age como uma ponte: recebe e envia informações. Também regula os níveis de dopamina, serotonina, glutamato…

2- Núcleo (zona central)
Estamos agora na parte central do núcleo accumbens. Nesta área é feita a orquestração das nossas habilidades motoras graças à sua conexão com os gânglios basais, à substância negra e ao córtex motor. Agora, o mais fascinante sobre essa área é que ela ativa uma grande parte das ações e movimentos que têm um significado emocional. Isto é, toda vez que sentimos a motivação para nos levantarmos da cadeira para realizar algo ou alcançar algum objetivo, devemos lembrar que por trás desse impulso está o núcleo accumbens.
Quais são as funções do núcleo accumbens?
Já sabemos que o núcleo accumbens articula e põe em funcionamento tudo o que está relacionado à motivação, prazer ou capacidade de êxito. No entanto, e devido ao seu grande envolvimento na questão emocional, realiza muito mais funções. Neste artigo, citaremos algumas delas.
- Ele nos ajuda a planejar. Graças à sua conexão com o córtex cerebral, podemos planejar objetivos, sequências, os caminhos para alcançar um objetivo, etc.
- Nós avaliamos as situações. O núcleo accumbens também está ligado à nossa memória emocional. Por isso, e graças a ele, conseguimos analisar determinadas situações para ajustar as mudanças, aprovar ou decidir se é melhor adiar determinados desafios ou objetivos.
- Ele nos ajuda a aprender, a integrar novas informações. A motivação e a aprendizagem sempre andam de mãos dadas; na verdade, o simples ato de compreender, integrar e memorizar não faria sentido sem o componente emocional que o núcleo accumbens traz.
- Sexo e comida. Essa estrutura não é a única que está relacionada à sensação de prazer. No entanto, o núcleo accumbens tem um papel fundamental (como já sabemos) em termos de motivação e do sistema de recompensa neuroquímica. Tudo se deve à sua ligação com a via dopaminérgica, isto é, com aquele neurotransmissor relacionado ao prazer, à felicidade e também ao vício.
Para concluir, podemos dizer que o cérebro e cada uma das partes que o compõem nunca deixam de nos surpreender. É uma máquina perfeita onde cada pequena área cumpre uma função muito específica. No entanto, nenhuma age isoladamente. Todas estão relacionadas, todas dependem umas das outras para trabalharem em uma harmonia fascinante, onde o núcleo accumbens é uma peça mais do que privilegiada.
Este texto é fornecido apenas para fins informativos e não substitui a consulta com um profissional. Em caso de dúvida, consulte o seu especialista.







