Microbioma cerebral: bactérias intestinais no cérebro humano


Revisado e aprovado por a psicóloga Gema Sánchez Cuevas
Sabemos um pouco sobre a relação entre a microbiota intestinal e o cérebro, mas parece que esta associação é mais íntima do que imaginávamos. No último congresso da Sociedade de Neurociência, a Universidade de Alabama apresentou um relatório mostrando que algumas bactérias intestinais habitam diferentes regiões do cérebro, o que parece constituir um microbioma cerebral.
Esta descoberta é, ao mesmo tempo, fascinante e intimidadora. Encontramos as bactérias, sabemos que elas estão lá, mas ainda não temos explicação a respeito de como chegaram ao cérebro, nem se são benéficas ou prejudiciais. Acredita-se, inclusive, que possam influenciar o humor e até a personalidade. Vamos nos aprofundar.
O que é o microbioma intestinal?
O microbioma intestinal é o conjunto de micro-organismos que vivem em nossos intestinos, composto por bilhões de espécies diferentes de bactérias, as quais, por sua vez, são formadas por mais de três milhões de genes. De todos eles, só um terço é comum a todos os seres humanos; o restante é exclusivo de cada pessoa. Assim, o microbioma intestinal é uma parte importante da identidade de cada um de nós.
Entre suas funções mais importantes podemos destacar a regulação do sistema imunológico, a absorção de nutrientes e o controle de patógeno externos. Qualquer alteração na microbiota intestinal pode ser a origem de doenças autoimunes, alergias e infecções. De fato, ela também foi relacionada com o Alzheimer e o Parkinson, de maneira recente.
Por outro lado, os desequilíbrios nesta flora geram endotoxinas, níveis elevados de oxidação, e o acúmulo de gordura abdominal. Além disso, a inflamação crônica provoca problemas cardiovasculares e diabetes.
Apesar de existir um medo generalizado dos micróbios e das bactérias, a verdade é que não podemos viver sem eles. Não somos conscientes, mas temos bilhões de seres vivos convivendo no interior do nosso corpo.

O microbioma cerebral
A presença de bactérias no cérebro gerou curiosidade e surpresa na comunidade científica. De fato, uma das primeiras questões a resolver é como elas chegam ao cérebro, já que ele se encontra protegido pela barreira hematoencefálica.
A barreira hematoencefálica é um sistema de proteção contra a entrada de substâncias estranhas, que permite a passagem de água, de moléculas solúveis em lipídios e de alguns gases. Também permite a passagem seletiva de aminoácidos e outras moléculas. No entanto, as bactérias encontradas no cérebro são, em sua maioria, de filogenia intestinal.
São células gliais de apoio aos neurônios, os astrócitos, os que impedem a entrada de neurotoxinas e outras substâncias ao cérebro. Estas substâncias danosas, quando conseguem ultrapassar a barreira de alguma forma, costumam provocar inflamações com consequências muito negativas e inclusive mortais. O curioso é de que os astrócitos parecem ser o lugar favorito destas bactérias intestinais para viver no cérebro.
Apesar de terem sido definidas algumas propostas sobre como as bactérias chegaram ao cérebro, como por exemplo através dos nervos do intestino, a barreira hematoencefálica ou o nariz, ainda não se sabe qual é a causa. Ainda há muito para investigar sobre este possível microbioma cerebral.

A pesquisa
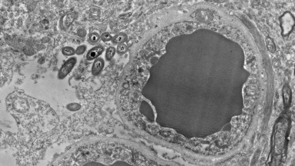
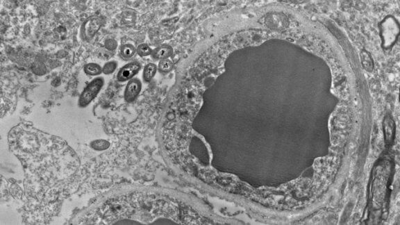
A Dra. Rosalind Roberts, junto com sua equipe do Psychiatry and Behavioral Neurobiology da Universidade do Alabama, foram os responsáveis por esta descoberta. Eles estudaram o cérebro de 34 pessoas; metade delas eram indivíduos saudáveis, e os outros sofriam de esquizofrenia. Além disso, foi realizado um estudo paralelo com ratos para descartar que as bactérias tivessem aparecido apenas após a morte, ou que o estudo pudesse ter tido qualquer erro por contaminação.
Tanto em um quanto no outro estudo, foi observada a presença de bactérias no cérebro humano e no dos ratos, em situações não infecciosas ou traumáticas. De fato, foram encontradas em várias zonas cerebrais. Principalmente na matéria negra, no hipocampo e no córtex pré-frontal, e pouca quantidade no estriado. Além disso, nenhum dos cérebros examinados mostrava inflamação.
Estes resultados deixaram a porta aberta para a especulação e possíveis novas pesquisas sobre o microbioma cerebral. No momento, está sendo avaliada a possibilidade de que estes micróbios tenham relação com o comportamento, o humor e algumas doenças neurológicas.
Os resultados sobre pessoas saudáveis nos levam a pensar que estas bactérias podem ser benéficas também no cérebro, assim como são no intestino. Atualmente, não se pode descartar nenhuma possibilidade.
Imagem principal de Rosalía Roberts, Courtney Walker e Charlene Farmer
Este texto é fornecido apenas para fins informativos e não substitui a consulta com um profissional. Em caso de dúvida, consulte o seu especialista.







