Síndrome do encarceramento: viver preso no próprio corpo


Escrito e verificado por a psicóloga Gema Sánchez Cuevas
A síndrome do encarceramento ou do cativeiro é uma condição rara causada por uma lesão pontina bilateral. Pode ocorrer como resultado de uma lesão cerebral traumática, de doenças do sistema circulatório, de doenças que destroem a bainha da mielina que envolve as células nervosas ou por doses elevadas de medicamentos.
Esta lesão é muito grave e torna a pessoa incapaz de mover o corpo, com exceção dos olhos e das pálpebras. Apesar da mobilidade perdida, a consciência e o sistema somatossensorial (é a condição que permite ao ser vivo experimentar sensações nas partes distintas do seu corpo), permanecem intactos.
É como se o cérebro fosse “desconectado” do corpo e perdesse a capacidade de comandá-lo. O cérebro continua a receber todos os sinais sensoriais, como a dor e a temperatura, e também somáticos, como a fome. A comunicação torna-se quase impossível e esta capacidade fica relegada ao movimento das pálpebras.
Existem casos em que a comunicação é feita através do “piscar de olhos”. Com uma placa onde aparecem as letras do alfabeto, a pessoa vai escolhendo as letras das palavras e frases que ela deseja formar. É um método lento, mas conseguiu dar “voz” a aqueles que a perderam como resultado desta síndrome.
Sintomas, causas e prognóstico
O quadro sintomático desta patologia é: tetraplegia, anartria (incapacidade de articular as palavras) e conservação da consciência. Como nem o córtex cerebral e nem o tálamo são afetados, as funções cognitivas são preservadas. A pessoa percebe, processa e produz informações através do uso de processos cognitivos normais. É capaz de perceber todos os estímulos externos, mas não consegue responder fisicamente a eles.

A causa principal é a trombose basilar, na qual pode haver sintomas premonitórios durante semanas e até meses, como vertigem e náuseas. Pode ocorrer também através de um trauma cranioencefálico, com a contusão do tronco encefálico ou dissecção vertebrobasilar. Dependendo da gravidade do envolvimento motor, podemos distinguir três imagens clínicas:
- Clássica: apresenta tetraplegia e anartria com a preservação da consciência e motilidade ocular ou das pálpebras.
- Incompleta: semelhante à clássica, mas mantendo alguns movimentos a mais.
- Total: sem a preservação de qualquer movimento; geralmente é acompanhada de lesões no mesencéfalo.
Dependendo da evolução, pode ser transitória ou crônica. Mesmo nos casos em que houve uma desconexão das vias descendentes da ponte (área do cérebro que fica no tronco encefálico), a recuperação não é possível. A desconexão das vias descendentes faz com que as ordens enviadas pelo cérebro não cheguem ao restante do corpo e, consequentemente, a pessoa não consegue responder a nenhum estímulo, embora os receba.
Meios para detectar a síndrome do encarceramento
É muito complicado detectar a síndrome do cativeiro e diferenciá-la de outros distúrbios como o coma. Em um primeiro momento não é fácil saber se as faculdades mentais do paciente estão intactas ou não, já que a pessoa não pode se comunicar.
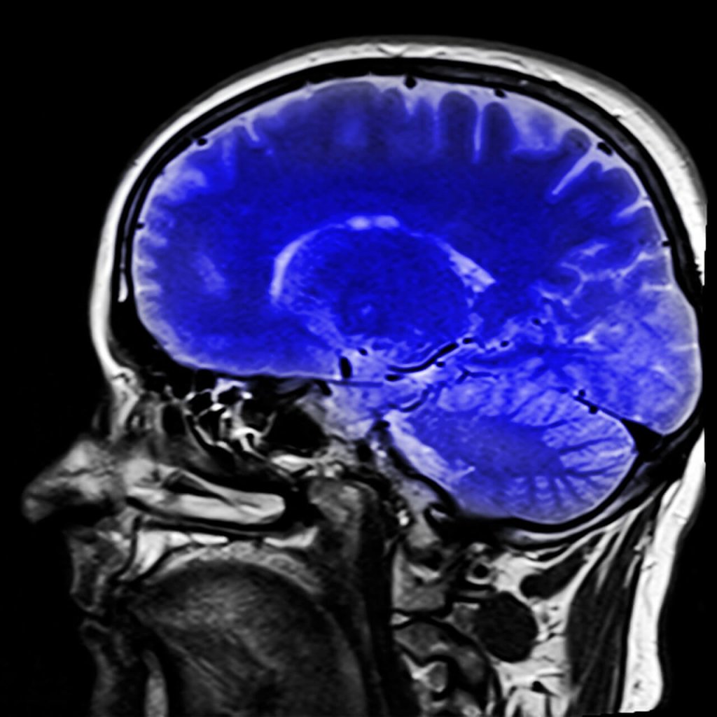
Existem alguns testes neurológicos que ajudam no diagnóstico. A ressonância magnética pode mostrar o tipo de lesão cerebral que pode apontar para a síndrome.
Tanto a tomografia por emissão de pósitrons (PET) quanto o eletroencefalograma (EEG) podem relatar a atividade cerebral. Através da PET, você pode verificar se o metabolismo do cérebro está normal e, se for esse o caso, significa que as funções do cérebro estão preservadas e há consciência como na síndrome acima mencionada.
Através do EEG podemos monitorar a atividade das ondas cerebrais. Colocando eletrodos na cabeça, esta ferramenta permite determinar as ondas que predominam no momento. No caso de uma pessoa que sofre da síndrome do encarceramento, um ritmo alfa posterior reativo será encontrado.
O escafandro e a borboleta
Jean-Dominique Bauby foi um jornalista francês que sofreu uma embolia cerebral aos 43 anos. Depois de passar 20 dias em coma, Bauby acordou sofrendo da síndrome do encarceramento, capaz de mover apenas o olho esquerdo e a cabeça ligeiramente. Ele sofreu uma grande deterioração física perdendo cerca de 27 quilos em algumas semanas.

A piora da saúde derivada da embolia sofrida fez com que ele vivesse com a doença por cerca de um ano. Durante o ano em que viveu “trancado no seu próprio corpo”, aprendeu um método para se comunicar, com um quadro com o alfabeto e através de piscadas. Com a ajuda de fonoaudiólogos e da sua família, ele escreveu um livro autobiográfico “O escafandro e a borboleta” que foi um best-seller.
“Existem chaves no cosmos que podem abrir o meu escafandro? Uma linha de metrô sem fim? Uma moeda forte o suficiente para comprar a minha liberdade? É preciso procurar em outro lugar. Vou lá.”
– Jean-Dominique Bauby –
Há também um filme baseado no seu livro com o mesmo nome, no qual você pode ver o desafio de Jean-Dominique para enfrentar essa doença difícil, os pensamentos que passam pela sua cabeça e que o seu corpo não é capaz de expressar. Ele utiliza a sua imaginação e “viaja” através da sua mente para diferentes lugares que o fazem escapar de uma realidade difícil de enfrentar.
Este texto é fornecido apenas para fins informativos e não substitui a consulta com um profissional. Em caso de dúvida, consulte o seu especialista.







